rvdentalcare.co.in

Crowns & Bridges

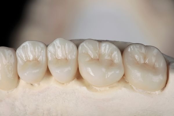
rowns and bridges are restorative dental solutions used to repair damaged teeth or replace missing ones. At our clinic, we recommend crowns to cover and protect teeth that are weakened due to decay, fractures, or after root canal treatment. Bridges are used to replace one or more missing teeth by anchoring them to neighboring natural teeth.

Dental crowns are designed to fit securely over an existing tooth, restoring its shape, strength, and function. They help protect the tooth from further damage while allowing normal chewing and biting. Bridges help restore gaps caused by missing teeth, preventing nearby teeth from shifting and helping maintain proper alignment.

Crowns and bridges also play an important role in improving the appearance of your smile. They are crafted to blend naturally with surrounding teeth, enhancing both function and aesthetics. Our dental team ensures careful planning and precise fitting to provide comfortable and reliable results.

By choosing crowns or bridges, we help our patients restore oral function and confidence. With proper care and regular dental visits, these restorations can last for many years, supporting long-term dental health and a balanced, healthy smile.

Not Sure What You Need?

Simply give us a call and book an appointment for yourself. We are here to help. Walk into our clinic and let us take a closer look to suggest the best treatment you need.